+918042754651
Currently it only shows your basic business info. Start adding relevant business details such as description, images and products or services to gain your customers attention by using Boost 360 android app / iOS App / web portal.

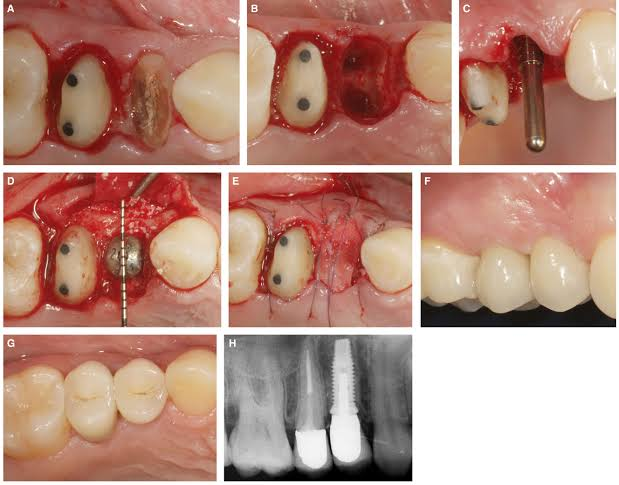
Immediate implant treatment in saidapet Immediate implant placement (IIP) is a dental procedure that involves placing a dental implant into the socket of a freshly extracted tooth. This procedure is performed at the same time as the tooth extraction.